DOES YOUR CHILD HAVE A TONGUE-TIE? >>
Children can be happy, irritable, silly, and teary… and that’s just before breakfast!
Trying to decide if your child needs more than a cuddle when they are upset often comes down to a parent’s instincts. When your child has feeding difficulties, for instance, well-meaning friends (and even doctors!) may tell you that the child is “easily distracted” or “a picky eater.” When breastfeeding difficulties arise, a mom might be told, “It is supposed to hurt for six weeks,” “All babies are gassy and fussy or spit up,” or “Your baby is just a lazy nurser.” Advice-givers mean well, but you know your child best. If something feels “off,” further investigation is wise.
Your child may have a tongue- or lip-tie. While once seen as a rare condition, now it’s estimated that as many as 1 in 4 have an oral restriction. These restrictions may be the hidden reason behind nursing difficulties in babies, feeding problems in toddlers, speech issues in children, and even headaches, neck pain, or sleep issues in adults.
Start learning.
This educational website is jam-packed with information about tongue- and lip-ties. Before you
go deeper, let’s cover the basics about mouth restrictions in infants, toddlers, and older children.
Infants
If you or your infant have more than a few of these symptoms (even with good weight gain), your child should be properly evaluated for a tongue- and lip-tie.
MOM SYMPTOMS
- Painful nursing
- Creased or flattened nipples
- Blistered or cut nipples
- Incomplete breast drainage
- Plugged ducts or mastitis
- Inability to nurse without using a nipple shield
- Decreased milk supply
INFANT SYMPTOMS
- Poor latch
- Poor weight gain
- Reflux or frequent spitting up
- Frequent gassiness and fussiness
- Clicking or smacking noises when eating
- Dribbling milk out of mouth
- Frustration when eating
- Inability to hold a pacifier
- Prolonged nursing or bottle-feeding sessions
IMAGES OF TONGUE- AND LIP-TIES
Spectrum of lip restriction in an infant

Spectrum of tongue restriction in an infant

Posterior tongue-tie in an infant seen with lifting the tongue. The posterior or “hidden”tongue-tie can cause the same symptoms including nursing pain and poor weight gain, as a to-the-tip tie in an infant

WHAT YOU CAN DO ABOUT IT
The good news is, releasing a tongue-, lip-, or cheek-tie in an infant is a quick, safe procedure! In Dr. Baxter's private practice, for example, we use a CO2 laser for precision, and the entire process takes about five minutes, with the actual release taking about 10-15 seconds. There is no need for anesthesia, and your baby will be able to eat or nurse right away. To prevent reattachment, we will show you how to do some quick stretching exercises at the detachment site. These important stretches take just a few minutes and will be done three times a day for about 3-4 weeks.
If your infant has been diagnosed with a tie or you filled out our questionnaire and you think a tie is likely, we would love to help your infant thrive! If you are not within driving distance from our clinic in Birmingham, AL, give us a call. We may be able to help you find a tongue-tie specialist near you who has completed our Tongue-Tied Academy training.
Toddlers & Older Children
There are many children who have difficulties related to tongue-ties and lip-ties, but unfortunately, these conditions are often not identified until later in life. They can cause speech and feeding difficulties, sleep issues, and a wide range of other concerns.
SYMPTOMS
If your child is unable to touch the roof of the mouth with his or her tongue when opening widely, is struggling with speech delay or speech issues that aren’t resolving, has difficulty eating or getting a good night’s sleep, keep reading.
SPEECH
A tongue restriction affects speech differently in each individual. Some children with a to-the-tip tie can articulate well (but may struggle with increased effort when speaking). Other children, with a less visible or posterior tie, may have a speech delay or difficulty producing the sounds for L, R, T, D, N, TH, SH, and Z.
We are currently conducting studies to measure the effects of tongue-tie on children’s speech and the effectiveness of the release procedure. The following issues all saw a significant improvement after a tongue-tie release in Dr. Baxter's private practice (p < 0.01): frustration in communication, difficulty being understood, difficulty speaking fast, difficulty getting words out, trouble with speech sounds, speech delay, and mumbling or speaking softly.
We have seen that many children begin saying new words, even just hours or days after the release! One child said four new words the same day as the procedure. Another increased from a total of 10 words before the procedure to 39 in the week following. There is no guarantee that every child will have immediate results, but we often see this type of drastic improvement.
FEEDING
Children who have a tongue-tie often have eating issues from infancy, such as trouble nursing or taking a bottle. When transitioning to solid foods, they may choke, gag, or have difficulty swallowing certain textures.
In childhood, these eating difficulties can persist and are evidenced by only eating small amounts of food, slow eating, packing food in the cheeks like a chipmunk, and pickiness with textures (soft, mushy foods and meats are typically the most difficult, but children can struggle with other foods as well). In our recent study, 84% of children with feeding issues saw improvement.
SLEEPING
A child with a tongue-tie will often grind his or her teeth at night, snore, or experience other sleep-disordered breathing problems. Releasing a tongue-tie can help a child to sleep more soundly because the tongue will be able to rest on the palate, as it was designed to do, rather than falling back to narrow or block the child’s airway. Sleep-disordered breathing can cause frequent waking, restlessness, bed-wetting, failure to feel refreshed upon waking and accompanying difficulty focusing (which is sometimes misdiagnosed as ADD or ADHD).
Because multiple factors contribute to the problem, such as large tonsils and adenoids, a narrow palate, and tongue-tie, often a child will be seen by multiple specialists to try to remedy the problem. In addition, children with tongue-ties often have a history of multiple ear infections and needing ear tubes. They may have had tonsils and adenoids removed. All of these can be complicated by the mouth-breathing that frequently occurs in tongue-tied individuals, due to the low resting posture of the tongue. We have found that when there is a tongue-tie, sleep often improves dramatically after a simple in-office procedure.
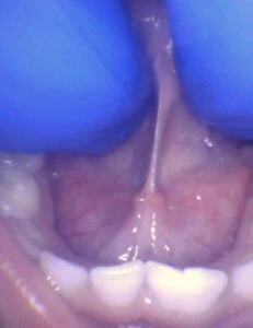
IMAGES OF TONGUE- AND LIP-TIES
Spectrum of lip restriction in a child

Spectrum of tongue restriction in a child

Posterior tongue-tie in a child seen with lifting the tongue. The posterior or “hidden”tongue-tie can cause the same symptoms including nursing pain and poor weight gain, as a to-the-tip tie in a child

WHAT YOU CAN DO ABOUT IT
A mouth restriction release in older children is a quick, safe procedure! In Dr. Baxter's private practice, we use a CO2 laser for precision, and the entire process takes about five minutes, with the actual release taking about 10-15 seconds. There is no need for anesthesia, and your child will not have any restrictions on eating or playing following the procedure. To prevent reattachment, we will show you how to do some quick stretching exercises at the detachment site. These important stretches take just a few minutes and will be done three times a day for about 3-4 weeks.
If your child has been diagnosed with a tie or you filled out our questionnaire and you think a tie is likely, we would love to help them thrive! If you are not within driving distance from our clinic in Birmingham, AL, give us a call. We may be able to help you find a tongue-tie specialist near you who has completed our Tongue-Tied Academy training.
Want more?
Keep learning.
We’ve collected a spectrum of resources to help you meet your child’s needs.
Quiz
Mouth restrictions are not always easy to see, so we've designed this questionnaire to identify some common red flags that may indicate a tie. Regardless of the results, we'll contact you with our recommendations.
Book
Dr. Baxter has documented his accumulated knowledge in this comprehensive resource book written with parents in mind, Tongue-Tied: How a Tiny String Under the Tongue Impacts Nursing, Speech, Feeding, and More. It's meant to offer you an easy, affordable way to expand your understanding of this common condition.
Articles by Topic
We have resources for every kind of learner! Our collection of articles comprehensively examines symptoms, diagnosis, release procedures, and aftercare. Use the search bar to type in the topic on your mind today.
Podcast Interviews
Dr. Baxter has had the opportunity to address tongue-ties in children on several podcasts about pediatric medical issues. If you enjoy learning on the go, we've collected several podcast episodes for you here.
Videos
From diagnosis to aftercare, Dr. Baxter has recorded a series of YouTube videos that will satisfy even your most in-depth questions. Keep an eye out for photographs he's included from actual case histories
Ready for us to take a look?
Dr. Baxter’s team of tongue-tie professionals see patients in his private practice clinic in Birmingham, Alabama. If Birmingham is not a convenient drive for you, please still reach out. Many patients travel for this one-day procedure.
After listening to your concerns and conducting a comprehensive assessment, we’ll help you get to the root cause of the issues your child is experiencing. If a tongue- or lip-tie is the culprit, we’ll go beyond a traditional snip or clip and release it completely in a 15-second procedure using a CO2 laser. We do not use sedation or general anesthesia, and minimal or no bleeding can be expected.

